澳门金沙娱乐城-澳门金沙娱乐场_澳门百家乐官网_全讯网新2开户 (中国)·官方网站

教學周

門戶系統 學生 教師 校友 考生 VPN 郵箱 圖書館 EN

首頁

首頁 / 媒體關注 / 正文

【大江網】南大一附院腫瘤科完成院內首例3D打印三維后裝

作者:時間:2022-11-16
攝影 單位 第一附屬醫院
  

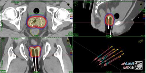
9月2日,南大一附院腫瘤科在院內首次開展3D打印三維后裝插植放療技術,使宮頸癌后裝治療更加“個體化”和“精確化”。

4月,周女士因月經淋漓不盡被確診為宮頸癌,在當地醫院行宮頸癌根治術后,術后病理分期為IIIC1p期。根據手術病理結果,周女士術后需要補充輔助性放化療。根據復查的影像學結果,腫瘤科、婦產科專家聯合進行婦科查體,確定患者原宮頸及宮旁有腫瘤組織殘留,同時無再次手術機會。為進一步提高治療療效,盡可能減輕副作用,醫務人員對患者行3D打印三維后裝及組織間插植放療,并由腫瘤科專家成功為周女士完成了第一次3D打印三維后裝及組織間插植放療。

圖為后裝靶區及劑量

“后裝在宮頸癌根治放療中必不可少,不能被其他體外放射治療所替代。對于腫瘤偏心、體積偏大或宮旁受累的患者,在后裝治療時需結合組織間插植才能使劑量線更好地覆蓋靶區,但組織間插植技術難度高,受操作者技術熟練程度影響,具有臨床操作難度大、風險高、重復性差等缺點。”南大一附院腫瘤科主任李勇教授介紹,3D打印技術是一種新興的技術,具有數字化和個體化的特點,可以制作出各種結構復雜的模具,比如打印導板、腫瘤模型、放療補償等。

3D打印后裝模具制作主要包括圖像采集、預計劃制定、3D模具設計及打印等過程,設計完成經醫生確認后,將數據傳至3D打印機,使用PLA材料打印出模具。3D打印模具可以降低操作難度,減小重復誤差,降低膀胱及直腸的近期發生不良反應情況,通過預計劃設置插植針道,避免周圍器官損傷,控制插植針進針方向及深度、降低插植技術難度,彌補通用施源器不足之處。在對臨床上因腫瘤位置及解剖結構等導致施源器放置困難的患者,多項研究均證實3D打印模板的劑量學優勢。

原文鏈接:

https://jxylw.jxnews.com.cn/system/2022/10/21/019818875.shtml

編    輯:杜小婷

責任編輯:曾  慧

大西洋百家乐官网的玩法技巧和规则| 百家乐官网电子路单下载| 高科技百家乐牌具| 丽星百家乐的玩法技巧和规则| 皇冠网现金网| 百家乐官网群必胜打朽法| 大发888免费送奖金| 网上百家乐官网骗钱| 什么事百家乐的路单| 金狮娱乐| 做生意的风水摆件| 新葡京娱乐城官方网址| 藁城市| 百家乐新注册送彩金| 百家乐官网发牌铲| 百家乐大赌场娱乐网规则| 大赢家网上娱乐| 百家乐号论坛博彩正网| 百家乐官网高手投注法| 钱隆百家乐的玩法技巧和规则 | 大发888 大发888游戏平台| 百家乐官网赌场娱乐网规则| 大发888官网是多少| 大发888黄金版| 赌博百家乐官网经验| 金彩百家乐的玩法技巧和规则| 北海市| 星期八百家乐的玩法技巧和规则| 百家乐官网游戏开发软件| 北京太阳城医院| 火命与金命做生意 | 单机百家乐官网的玩法技巧和规则 | 优博百家乐官网的玩法技巧和规则| bet365 论坛| 玩百家乐去哪个平台好| 百家乐官网投注平台信誉排名| 大发888boaicai| 百家乐官网翻天粤语快播| 威尼斯人娱乐城真钱赌博| 百家乐闲拉长龙| 百家乐园百乐彩|